包括的治療戦略 : 修復治療成功のために 包括的治療戦略 修復治療成功のために/医歯薬出版株式会社
(2204件)
Pontaパス特典
サンキュー配送
6750円(税込)
68ポイント(1%)
Pontaパス会員ならさらに+1%ポイント還元!
送料
(
)
2202
配送情報
お届け予定日:2026.05.02 1:49までにお届け
※一部地域・離島につきましては、表示のお届け予定日期間内にお届けできない場合があります。
ロットナンバー
53432236943
お買い物の前にチェック!
Pontaパス会員なら
ポイント+1%
ポイント+1%
商品説明


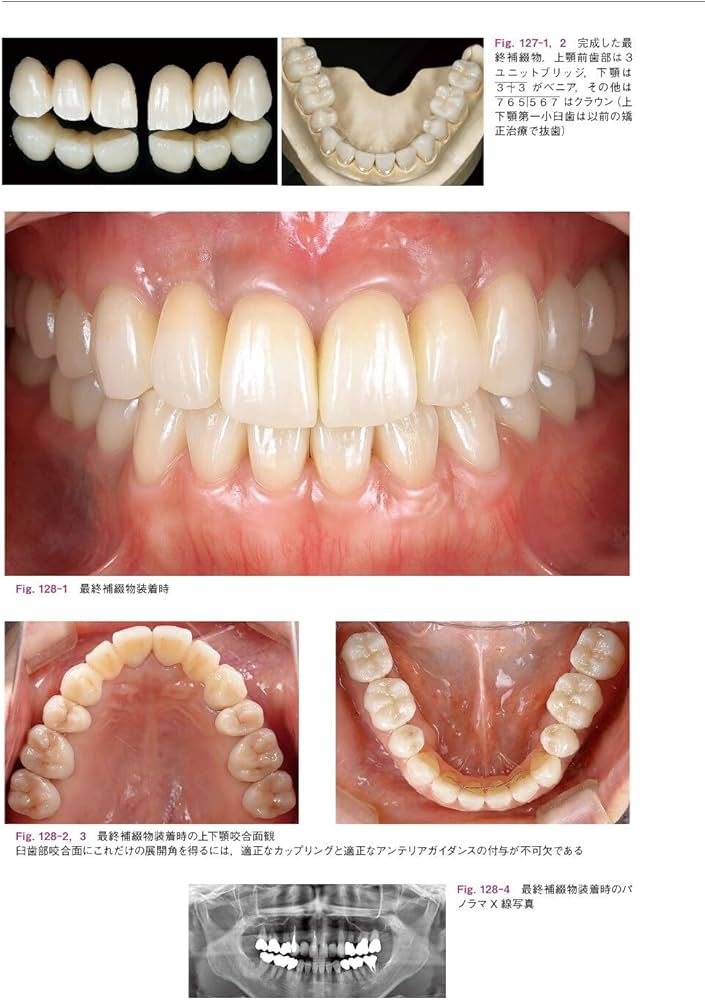
「包括的治療戦略 : 修復治療成功のために」\r土屋 賢司\r定価: ¥ 16000\r\r 表紙に保管時の傷みが少しありますが綺麗な状態です。お値引き交渉ご遠慮下さい。
| カテゴリー: | 本・雑誌・漫画>>>本>>>健康・医学 |
|---|---|
| 商品の状態: | 未使用に近い","数回使用し、あまり使用感がない |
| 配送料の負担: | 送料込み(出品者負担) |
| 配送の方法: | 佐川急便/日本郵便 |
| 発送元の地域: | 大阪府 |
| 発送までの日数: | 1~2日で発送 |
レビュー
商品の評価:




5.0点(2204件)
- kamen7649
- このシリーズが小学生の頃から好きで今、集めてます。これだけ本屋さんにありませんでした。犬が死んだふりをしてるところがずっと印象に残ってます。
- ユッキー13579
- 絵本の読み聞かせをしているので、面白い本が欲しいなと思い購入しました。 子どもたちが喜んでくれるのを期待しています。
- こう・ここちゃん
- なかなか動物の名前を覚えられないので、これからこのカードも利用しつつ覚えてくれればなぁと思います♪
- はっしー123
- 絵本にあまり関心の無かった娘がはまったのが、せなさんのこのシリーズです。
- じん0205
- プレゼント用に購入しました。喜んでもらったので良かったです。
- ゆみママにゃん
- さまざまなところでお勧めされているこちらの本、我が家も購入してみました。11か月の息子はかなり気に入ったようで自分で引っ張りだしてきてはめくって眺めています。読み聞かせをしているときもじっと聞いて絵を見つめています。
- jun29857
- 5歳の娘のクリスマスプレゼントに購入しました! 最近、幼稚園のお友達との間でブームのようです。 お友達は皆「ここたまハウス」なる玩具も買ってもらっているようなのですが、ウチには上にも姉がいる為、少し前に流行ったキャラクターの玩具が沢山ありこれ以上ゴチャゴチャした玩具を増やしたく無かったので、本で。 テレビアニメも見てはいますが、初回から見ていたわけではないので、キャラクターの事もわからなかったりする為、かえって「ここたま」のことを勉強するのにも良いよすです。まだ、クリスマス前なので開封はしていませんが、娘は外パッケージを眺めては「早く開けたいなあ」と、楽しみにしております
- 7165睦
- 電車の走っている様子がとってもよくわかります。 ほぼ最初から最後まで、「オノマトペ」といわれる擬音語です。 噛まずに読み聞かせできたら、心の中でガッツポーズだしましょう。 電車好きな男の子に是非。 作者の三宮さんは視覚に障がいがあるようですが、研ぎ澄まされた耳のよさに感服します。
- syun0707
- なかなか寝付かない子供でしたが、この本を読んであげるとすんなり眠ってくれるようになりました。 娘のリクエストで買った本でしたので気に入ってます(^^♪
すべて見る
お店の情報
7,367
連絡・応対
4.3
配送スピード
4.3
梱包
4.3










